What is Porencephaly?
Porencephaly is a rare neurological disorder characterized by cysts or cavities within the brain’s cerebral hemispheres. These fluid-filled spaces can affect brain function depending on their size and location. Porencephaly can be congenital (present at birth) or acquired after brain injury.

What causes Porencephaly?
Causes include:
- Brain injury before or shortly after birth (such as stroke, infection, or trauma)
- Developmental abnormalities during fetal brain formation
- Genetic mutations (rare cases)
- Infections during pregnancy like cytomegalovirus (CMV) or toxoplasmosis
- Vascular problems causing brain tissue damage
What are the symptoms?
Symptoms vary widely based on the cyst size and affected brain areas, and may include:
- Developmental delays or intellectual disability
- Seizures
- Muscle weakness or paralysis on one side of the body (hemiparesis)
- Problems with coordination and balance
- Speech and vision difficulties
- Hydrocephalus (excess fluid buildup in the brain) in some cases
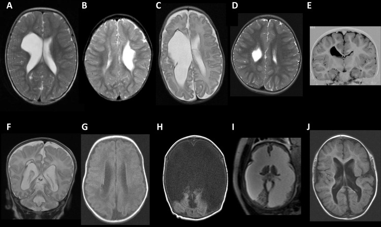
How is Porencephaly diagnosed?
Diagnosis involves:
- Imaging studies: MRI and CT scans reveal cystic cavities in the brain
- Neurological examination: To assess developmental and motor function
- Prenatal ultrasound: May detect porencephaly before birth in some cases
- Genetic testing: If a hereditary cause is suspected
How is it treated?
There is no cure for porencephaly, so treatment focuses on managing symptoms:
- Medications: To control seizures
- Physical and occupational therapy: To improve motor skills and function
- Speech therapy: For language and communication support
- Surgical interventions: In rare cases to manage complications like hydrocephalus (e.g., shunt placement)
- Regular monitoring and supportive care
What is the prognosis?
Prognosis depends on the size and location of brain cysts and severity of symptoms. Some individuals have mild symptoms and lead relatively normal lives, while others may have significant disabilities requiring lifelong care.
What complications can occur?
Complications may include:
- Seizure disorders
- Motor impairments such as paralysis or muscle weakness
- Developmental and cognitive challenges
- Hydrocephalus requiring surgical treatment
Who is most at risk?
- Infants and children with brain injuries before, during, or shortly after birth
- Pregnant women exposed to certain infections or vascular complications
- Rarely, individuals with genetic predisposition

Can Porencephaly be prevented?
Prevention focuses on:
- Proper prenatal care to reduce infection risk
- Avoiding trauma during pregnancy and birth
- Managing maternal health conditions
- Early diagnosis and intervention
Are there support resources?
Yes, support includes:
- Neurologists and pediatric specialists
- Rehabilitation therapists (physical, occupational, speech)
- Family support groups for neurological disorders
- Resources from organizations like the National Institute of Neurological Disorders and Stroke (NINDS)


