info@healthooz.com

Juvenile Macular Degeneration

What is Juvenile Macular Degeneration?

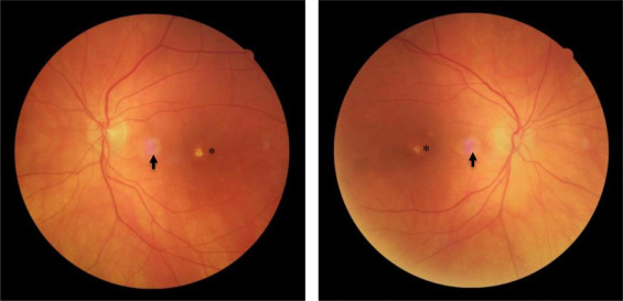
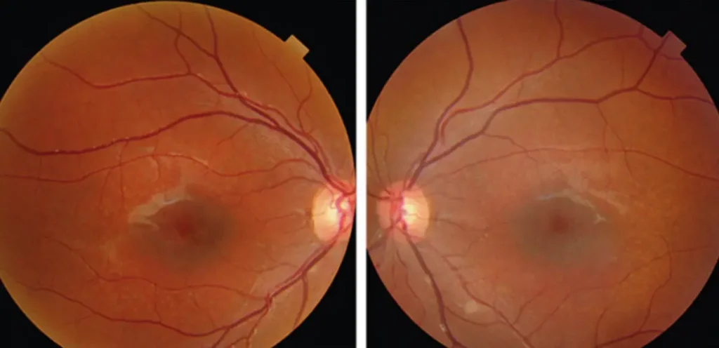
Juvenile Macular Degeneration refers to a group of inherited eye disorders that affect the macula, the central part of the retina responsible for sharp, central vision. Unlike age-related macular degeneration, this condition appears in children, teenagers, or young adults and can lead to progressive vision loss.

Common types include:

  • Stargardt disease
  • Best disease (Best vitelliform macular dystrophy)
  • Juvenile retinoschisis

What causes Juvenile Macular Degeneration?

Juvenile macular degeneration is caused by genetic mutations that affect the structure and function of the retinal cells. These mutations are usually inherited from one or both parents and may follow autosomal recessive or dominant inheritance patterns, depending on the specific type of the condition.

What are the signs and symptoms?

Symptoms can vary based on the type and severity, but commonly include:

  • Blurred or distorted central vision
  • Difficulty reading or recognizing faces
  • Loss of color perception
  • Light sensitivity
  • Blind spots in the central vision (scotomas)
  • Slow adaptation to darkness

Symptoms may begin in childhood or adolescence and typically worsen over time.

How is Juvenile Macular Degeneration diagnosed?

Diagnosis involves:

  • Eye exam by an ophthalmologist
  • Visual acuity testing
  • Fundus photography to examine the retina
  • Optical coherence tomography (OCT) to assess retinal layers
  • Fluorescein angiography to detect abnormal blood vessels or leakage
  • Genetic testing to confirm specific gene mutations

Early diagnosis can help manage the condition and plan for supportive therapies.

How is it treated?

There is currently no cure for juvenile macular degeneration, but treatment focuses on slowing progression and maximizing remaining vision:

  • Low vision aids such as magnifiers or specialized glasses
  • Assistive technology like screen readers or electronic magnifiers
  • Protective eyewear to block UV light
  • Vitamin supplements, in some cases, though effectiveness is limited
  • Genetic counseling for families

Ongoing research is exploring gene therapy, stem cell treatments, and other novel approaches.

What complications can arise?

Potential complications include:

  • Severe vision impairment or legal blindness
  • Academic or occupational challenges
  • Emotional stress or depression due to loss of independence
  • Reduced ability to drive or perform detailed visual tasks

Early support and vision rehabilitation can help improve quality of life.

What is the outlook for someone with Juvenile Macular Degeneration?

The progression and impact of the condition vary widely. While central vision often declines, peripheral vision is usually preserved, allowing some level of independence. With vision aids and support, many individuals can lead active and fulfilling lives.

When should I see a doctor?

See an eye doctor if a child or teen experiences:

  • Unexplained vision changes
  • Trouble reading or recognizing faces
  • Eye strain or squinting frequently

Early detection offers the best chance to preserve remaining vision and plan effective interventions.

💬
Healthooz AI ✖