What is Pelizaeus-Merzbacher Disease?
Pelizaeus-Merzbacher Disease (PMD) is a rare genetic disorder affecting the central nervous system. It disrupts the formation of myelin, the protective covering of nerve fibers, leading to progressive neurological problems.

What causes Pelizaeus-Merzbacher Disease?
PMD is caused by mutations or duplications in the PLP1 gene, which is responsible for making a key protein in myelin. It follows an X-linked recessive inheritance pattern, mostly affecting males.
What are the symptoms of Pelizaeus-Merzbacher Disease?
Symptoms usually begin in infancy or early childhood and include:
- Delayed motor skills like sitting or walking
- Muscle stiffness and spasticity
- Poor coordination and balance
- Involuntary eye movements (nystagmus)
- Intellectual disability
- Speech difficulties
- Progressive loss of muscle control
How is Pelizaeus-Merzbacher Disease diagnosed?
Diagnosis is made through:
- Clinical evaluation of symptoms
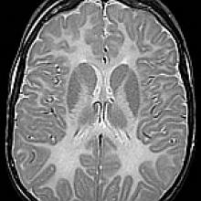
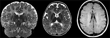
- Brain MRI showing abnormal myelin formation
- Genetic testing for PLP1 gene mutations
- Family history review
How is Pelizaeus-Merzbacher Disease treated?
There is no cure, but treatments focus on:
- Physical, occupational, and speech therapies
- Medications to manage spasticity or seizures
- Supportive care to improve quality of life

What is the prognosis for Pelizaeus-Merzbacher Disease?
PMD is progressive and symptoms worsen over time. Severity varies; some live into adulthood with disabilities, while others have more severe courses. Life expectancy can be reduced depending on complications.
How can families support someone with Pelizaeus-Merzbacher Disease?
- Engage a multidisciplinary care team
- Use special education and assistive devices
- Join support groups for rare neurological diseases
- Stay informed about research and treatments


