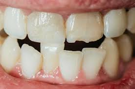
What Is Cracked Tooth Syndrome?
Cracked Tooth Syndrome (CTS) occurs when a tooth has a small crack that is not visible on X-rays and may be under the gum line. These cracks are often too small to see but can cause significant pain or discomfort, especially when chewing or when the tooth is exposed to hot or cold temperatures.
Unlike a completely broken tooth, cracked tooth syndrome involves an incomplete fracture that may worsen over time if left untreated.

Causes of Cracked Tooth Syndrome
Several factors can contribute to the development of cracked tooth syndrome, including:
- Teeth grinding or clenching (bruxism)
Repetitive pressure can create small cracks in the teeth. - Chewing on hard foods
Hard candies, ice, or unpopped popcorn kernels can crack a tooth. - Large dental fillings
Fillings that take up a lot of space can weaken the remaining natural tooth structure. - Age
CTS is more common in people over 40 due to natural wear and tear over time. - Trauma
A blow to the mouth or an accident can create fractures in the teeth. - Uneven biting forces
Biting down on one side more than the other may stress certain teeth, causing cracks.
Symptoms of Cracked Tooth Syndrome
Symptoms can vary depending on the location and depth of the crack, but common signs include:
- Pain when chewing or biting, especially when releasing pressure
- Sensitivity to hot, cold, or sweet foods and drinks
- Discomfort that comes and goes rather than constant pain
- Swelling around the affected tooth (in some cases)
- Difficulty pinpointing which tooth hurts
Diagnosis
Diagnosing cracked tooth syndrome can be tricky because the cracks are often microscopic or hidden below the gum line. Dentists may use a combination of:
- Visual inspection and magnification
- Dental dye to highlight cracks
- Bite tests to identify the source of pain
- X-rays (though cracks often don’t show up)
- Special dental tools to examine the tooth closely
Treatment Options
Treatment depends on the location, depth, and severity of the crack:
- Bonding or Filling
For minor cracks, the dentist may use tooth-colored material to fill and support the tooth. - Crown
A dental crown can cover and protect the cracked tooth, preventing the crack from worsening. - Root Canal
If the crack has reached the tooth pulp (the inner nerve), a root canal may be needed to remove damaged tissue and relieve pain. - Tooth Extraction
If the crack is severe and extends below the gum line, the tooth may need to be removed.

Can Cracked Tooth Syndrome Be Prevented?
While not all cracks can be avoided, you can reduce your risk by:
- Avoiding hard foods and habits like chewing ice or pens
- Wearing a night guard if you grind your teeth while sleeping
- Visiting your dentist regularly for checkups
- Addressing bite problems or uneven pressure with dental adjustments
- Using a mouthguard during sports activities
When to See a Dentist
If you experience sharp pain while chewing or notice increased sensitivity in a specific tooth, especially pain that comes and goes, it’s important to see a dentist as soon as possible. Early detection can prevent the crack from spreading and save the tooth.


