Dental hypoplasia is a condition in which there is insufficient or defective development of tooth enamel. This condition results in the formation of enamel that is thinner or weaker than normal, leading to visible defects on the tooth surface. Dental hypoplasia can make teeth more susceptible to decay, staining, and other dental issues. Early diagnosis and treatment can help prevent further complications and preserve dental health.

What Is Dental Hypoplasia?
Dental hypoplasia refers to the underdevelopment or incomplete formation of tooth enamel, which can occur in either the primary (baby) teeth or permanent teeth. The enamel is the hard, outer layer of the tooth that helps protect it from decay, and when it is defective, the tooth becomes more vulnerable to damage.
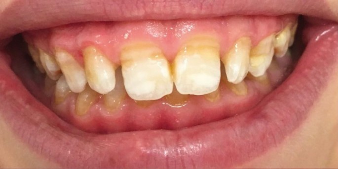
This condition can affect one or several teeth, and it is often characterized by noticeable defects such as grooves, pits, discoloration, or an overall weak tooth structure. Dental hypoplasia is a cosmetic concern in many cases but can lead to more serious dental issues if not managed properly.
Causes and Risk Factors?
Dental hypoplasia can be caused by a variety of factors that affect the development of enamel during childhood. Some of the common causes include:
- Genetic factors: Some individuals may inherit a predisposition to enamel defects due to genetic conditions like amelogenesis imperfecta, which affects the formation of enamel.
- Nutritional deficiencies: A lack of essential nutrients such as calcium, vitamin D, or vitamin A during tooth development can interfere with enamel formation.
- Infections during childhood: Illnesses, especially during critical stages of tooth development (such as during early childhood), can disrupt enamel formation.
- Medications: Certain medications, such as tetracycline antibiotics, when taken during tooth development, can cause enamel defects.
- Trauma or injury to the teeth: Physical trauma to the teeth or gums during the development of permanent teeth can result in enamel hypoplasia in the affected teeth.
- Environmental factors: Exposure to toxins or chemicals, such as excessive fluoride or lead, during the period when the teeth are forming can lead to enamel defects.
- High fever or systemic illness: Severe illness or high fever during childhood can disrupt the formation of enamel in developing teeth, leading to hypoplasia.
- Premature birth or low birth weight: Premature babies or those born with low birth weight are more susceptible to developing dental hypoplasia due to incomplete enamel development.

Symptoms of Dental Hypoplasia?
The most common symptom of dental hypoplasia is visible defects in the enamel of the affected teeth. These defects can include:
- White spots or lines: The enamel may appear chalky or have white streaks or spots, indicating that the tooth is underdeveloped.
- Grooves or pits: Some teeth may have shallow grooves or pits in the enamel, making them more susceptible to plaque buildup and cavities.
- Discoloration: The teeth may appear yellow, brown, or gray, which can be more noticeable on the front teeth.
- Weak enamel: In some cases, the enamel may be so thin or weak that the teeth are prone to chipping or breaking.
- Sensitivity: Teeth with hypoplasia may be more sensitive to hot, cold, or sweet foods and beverages.
The severity of these symptoms can vary depending on the extent of the enamel deficiency. In mild cases, the defects may be minimal, while in more severe cases, the enamel may be significantly compromised, leading to an increased risk of tooth decay and other dental issues.
Diagnosis?
Dental hypoplasia is typically diagnosed by a dentist during a routine dental examination. The dentist will examine the teeth for visible defects in the enamel, such as discoloration, pits, or grooves.
In some cases, the dentist may recommend X-rays to assess the extent of the enamel deficiency and to check for any underlying issues, such as tooth decay or damage to the tooth structure. A thorough medical history will also help the dentist understand any potential contributing factors, such as past illnesses, medications, or nutritional deficiencies.
Treatment Options for Dental Hypoplasia?
While there is no cure for dental hypoplasia, there are several treatment options available to address the cosmetic concerns and prevent further dental issues:
1. Dental Bonding
- Dental bonding involves the application of a tooth-colored resin to the surface of the tooth. This material can help smooth out defects, fill in grooves or pits, and improve the overall appearance of the tooth.
2. Veneers
- Porcelain veneers are thin shells of porcelain that are custom-made to cover the front surface of the teeth. Veneers can mask the discoloration and defects caused by dental hypoplasia, restoring the tooth’s natural appearance.
3. Crowns
- In more severe cases where the tooth structure is significantly compromised, dental crowns may be used to cover the tooth. Crowns are more durable than veneers and can protect the tooth from further damage.
4. Fluoride Treatment
- Fluoride treatments may help strengthen the remaining enamel and prevent further damage or decay in areas affected by dental hypoplasia. Fluoride can also help reduce sensitivity in some cases.
5. Regular Dental Checkups
- Regular checkups with a dentist are important for monitoring the condition of the teeth and ensuring that any cavities or decay are treated promptly. Maintaining good oral hygiene is essential to prevent further damage to teeth affected by hypoplasia.
Prevention of Dental Hypoplasia?
While dental hypoplasia is often caused by factors beyond a person’s control, there are steps that can be taken to reduce the risk, particularly in children:
- Ensure proper nutrition: A balanced diet rich in vitamins and minerals, especially calcium, vitamin D, and vitamin A, can support healthy tooth development.
- Avoid excessive fluoride exposure: Be cautious about fluoride supplements and the amount of fluoride in drinking water, especially in children under the age of 8.
- Regular dental care: Practice good oral hygiene habits, including brushing and flossing regularly, and take children for regular dental checkups to monitor tooth development.
- Prenatal care: Expectant mothers should maintain good health and nutrition during pregnancy to reduce the risk of enamel defects in their children’s teeth.
- Limit harmful substances: Minimize exposure to toxins, medications, and chemicals that may interfere with enamel formation during the development of teeth.
When to See a Dentist?
If you notice any signs of dental hypoplasia, such as discolored or weakened teeth, it is important to consult a dentist. Early detection can help address cosmetic concerns and prevent further dental problems. Regular dental visits are essential to maintain oral health and ensure that any defects are properly managed.


