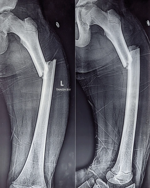
What is a femoral fracture?
A femoral fracture is a break in the femur, the thigh bone, which is the longest and strongest bone in the human body. Due to its strength, it usually takes a significant force—like a car accident or a serious fall—to break the femur. Femoral fractures can be serious and typically require surgery.

What causes a femoral fracture?
Common causes include:
- High-impact trauma, such as car accidents or falls from height
- Sports injuries, especially in contact sports or extreme activities
- Osteoporosis, which weakens bones and makes them more prone to fractures
- Pathological fractures, where the bone breaks due to underlying diseases like bone cancer or cysts
- Stress fractures, from repetitive motion or overuse (more common in athletes)
What are the types of femoral fractures?
Femoral fractures are classified based on their location and pattern:
- Femoral shaft fracture – Break along the long, straight part of the bone
- Femoral neck fracture – Occurs just below the ball of the hip joint (common in elderly people)
- Intertrochanteric fracture – Between the neck and shaft of the femur
- Subtrochanteric fracture – Below the lesser trochanter (part of the femur near the hip)
- Distal femur fracture – Near the knee joint
The type and location of the fracture determine treatment and recovery time.
What are the symptoms of a femoral fracture?
Signs and symptoms typically include:
- Severe pain in the thigh or hip
- Inability to bear weight or walk
- Swelling, bruising, or deformity at the site of injury
- Shortened or rotated leg (especially with femoral neck or shaft fractures)
- Limited range of motion
- Numbness or tingling, if nerves are affected
A femoral fracture is a medical emergency and should be evaluated immediately.
How is a femoral fracture diagnosed?
Diagnosis usually involves:
- Physical examination to assess pain, mobility, and leg alignment
- X-rays to confirm the fracture and assess its type
- CT scan or MRI if more detailed imaging is needed or to assess soft tissue damage
- Bone scan (in stress fractures or hidden breaks)
How is a femoral fracture treated?
Treatment depends on the type and severity of the fracture:
- Surgical treatment is most common, including:
- Intramedullary nailing – A rod is inserted into the bone marrow canal
- Plates and screws – Used for more complex or angled fractures
- Hip replacement – Often done for femoral neck fractures in older adults
- Non-surgical treatment (rare) may be considered for non-displaced or minor fractures, involving:
- Casting or bracing
- Bed rest and gradual mobilization
- Pain management
Rehabilitation with physical therapy is essential after treatment to regain strength and mobility.
How long does recovery take?
Recovery time varies depending on age, overall health, and the type of fracture. Generally:
- 6 to 12 weeks for initial bone healing
- 3 to 6 months for full recovery and return to daily activities
- Longer if there are complications or other medical conditions
Weight-bearing and activity levels are gradually increased under medical supervision.
What are possible complications?
- Infection (especially after surgery)
- Delayed union or non-union (fracture takes a long time to heal or doesn’t heal)
- Blood clots (DVT)
- Leg length discrepancy
- Hip or knee stiffness
- Nerve or blood vessel injury
Early treatment and rehabilitation reduce the risk of complications.

How can femoral fractures be prevented?
While not all fractures can be prevented, steps include:
- Using seatbelts and proper protection in vehicles
- Wearing protective gear during sports
- Fall prevention measures in older adults (e.g., home safety, mobility aids)
- Bone health management (adequate calcium, vitamin D, and osteoporosis treatment)
- Strength and balance exercises
When should you see a doctor?
Seek immediate medical care if:
- You experience severe thigh or hip pain after trauma
- You cannot move or bear weight on the leg
- There’s visible deformity, swelling, or bruising
- You suspect a fracture due to a fall or accident
Early intervention is critical for proper healing and recovery.


